– Musimy edukować lekarzy dentystów, by jeszcze aktywniej podejmowali tematy związane z profilaktyką i troską o zęby najmłodszych pacjentów – mówi lek. dent. Magda Szewczyk z Komisji Stomatologicznej Okręgowej Izby Lekarskiej. Tematy związane z edukacją również zostaną poruszone podczas konferencji Dentist Mundi. Wydarzenie rozpocznie się już w piątek i potrwa do soboty włącznie w hotelu Courtyard by Marriott w Szczecinie.

„Próchnica zaczyna się we wczesnym dzieciństwie, gdy popełniamy błędy związane z higieną czy dietą”

Tematy trzeciej edycji konferencji Dentist Mundi obejmują szerokie spektrum zagadnień związanych ze stomatologią. Dla Okręgowej Izby Lekarskiej w Szczecinie bardzo ważne jest, żeby dużo mówić o profilaktyce. 

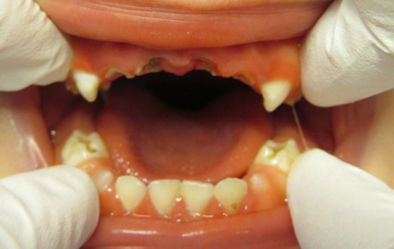
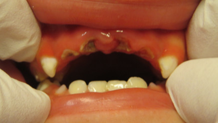
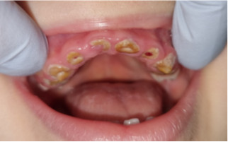
– Najważniejsze w stomatologii dziecięcej jest to, byśmy zaczynali jak najwcześniejsze leczenie i diagnozowanie dzieci. Próchnica zaczyna się we wczesnym dzieciństwie, gdy popełniamy błędy związane z higieną czy dietą. Zęby mleczne są w naszej jamie ustnej 12 lat. Nie wymieniają się wszystkie jednocześnie. Chore zęby mleczne mają więc wpływ na zdrowe, które dopiero się wyżynają – mówi lek. dent. Magda Szewczyk z Komisji Stomatologicznej Okręgowej Izby Lekarskiej w Szczecinie.

Jak dodaje, jednym z największych błędów rodziców jest przekonanie, że skoro to zęby mleczne, to one i tak wypadną, więc nie musimy ich leczyć.

– Musimy leczyć jak najwcześniej. Rodzice powinni przyprowadzać dzieci na wizyty adaptacyjne. Jedyną formą zapobiegania próchnicy i powikłaniom jest szybka wizyta u dentysty. Musimy także przestać straszyć dzieci dentystami – podkreśla lek. dent. Magda Szewczyk.

Na konferencji Dentist Mundi ten temat będzie poruszany w rozmowach kuluarowych, ale i podczas prezentacji. Dr n. med. Joanna Manowiec pierwszego dnia wydarzenia wygłosi wykład: „Leczenie pulopatii i zmian okołowierzchołkowych w zębach mlecznych”.

Wszystko o Dentist Mundi III 

Konferencja Dentist Mundi organizowana jest przez Komisję Stomatologiczną działającą przy Okręgowej Izbie Lekarskiej w Szczecinie. Poprzednie edycje okazały się wielkim sukcesem – zarówno merytorycznym, jak i frekwencyjnym. Organizatorzy idą za ciosem i zaprosili do Szczecina specjalistów uznawanych za autorytety świata stomatologii, którzy podzielą się swoją wiedzą i doświadczeniem.

W piątek, 13 października, odbędzie się sesja samorządowa, podczas której poruszone zostaną tematy związane m.in. z etyką pracy lekarza dentysty. Następnie goście hotelu Courtyard by Marriott w Szczecinie wysłuchają wykładu prof. dr. hab. n. med. Mariusza Lipskiego zatytułowanego „Rewitalizacja – nowa metoda leczenia zębów z niezakończonym rozwojem korzenia”. Tego dnia uczestnicy konferencji dowiedzą się również jak traktować pacjenta w podeszłym wieku w gabinecie stomatologicznym. Wykład na ten temat wygłosi dr hab. n. med. Magda Wiśniewska, była prezes OIL w Szczecinie. Natomiast o mikrochirurgii endodontycznej będzie mówił specjalnie zaproszony na to wydarzenie lek. dent. Witold Popowicz, którego wykład na konferencji stomatologicznej w Gdańsku spotkał się z ogromnym zainteresowaniem.

Drugi dzień, 14 października, wypełnią wykłady na temat innowacji, unowocześnień i procedur optymalizujących pracę lekarza dentysty. Konferencję otworzy lek. dent. Aleksandra Kroc, która opowie o „Stomatologicznej Castoramie”, czyli narzędziach używanych w implantologii. Dr hab. n. med. Konrad Małkiewicz przestawi nowe narzędzia i nowe metody w leczeniu ortodontycznym. Cyfryzacja w stomatologii – to temat dr. n. med. Marka Milczarza, który przybliży implantologię nawigowaną. Natomiast dr Ewa Wojdała, dermatolog wenerolog wzbudzi z pewnością spore zainteresowanie tematem na styku medycyny i stomatologii – „Zmiany w jamie ustnej kto leczy”. Lek. dent. Magdalena Pawelczyk-Madalińska podzieli się swoim doświadczeniem zastosowania laserów w stomatologii. W agendzie znalazł się również interesujący wykład dr. Macieja Mikołajczyka z firmy Kerr oraz zaprzyjaźnionych firm. Jakich? To już trzeba przyjść na konferencję i posłuchać. Na zakończenie to, co zawsze wzbudza zainteresowanie: prawo medyczne. Prezentację przedstawi mecenas Michał Lizak, przedstawiciel biura prawnego związanego z Okręgową Izbą Lekarską w Szczecinie.

Konferencja Dentist Mundi to doskonała okazja do poznania firm działających w branży medycznej. Każda z nich będzie miała przygotowane stanowisko, przy którym będzie można porozmawiać z ich przedstawicielami, dotknąć i obejrzeć prezentowane produkty.

Więcej informacji oraz rejestracja: https://www.oil.szczecin.pl/konferencja/lekarze-dentysci/739/iii-konferencja-dentist-mundi-13-14-pazdziernika-2023-r